
小型犬の8歳齢以上の子では半数以上の子が心臓病になると言われています。
先天性の心奇形や、フィラリア症、心筋症などいくつか種類がありますが、
最も多いのが弁膜症、特に「僧帽弁(そうぼうべん)閉鎖不全症」です。
病気の種類、症状や治療方法を理解して、大切なわんちゃんをサポートしましょう。

犬の心臓には人間と同じように4つの部屋があり、肺からの酸素を受け取った血液が流れ込む「左心房」と、全身に酸素を送るために大動脈とつながっている「左心室」があります。
左心房と左心室の間にあるフタの役割を持つ弁のことを「僧帽弁」と言い、この僧帽弁が肥大してうまく閉じなくなってしまう病気が僧帽弁閉鎖不全症です。
僧帽弁閉鎖不全症になると、左心室から大動脈へ血液を流そうとしても一部の血液が左心房へ戻るようになってしまうことで以下のような症状を引き起こすことがあります。
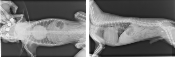
血管の太さや、肺水腫の有無と言った肺の状況を確認することで適切な治療につなげることができます。
レントゲン検査

超音波検査(エコー検査)

ドップラー検査(血流速度の測定)


僧帽弁閉鎖不全症が進行してしまった状態からでは治療に限界があり、悪くなった僧帽弁を完治させることはできません。
病気の初期の段階から進行を抑えるような治療をすることが非常に重要ですが、もし発症してしまった場合も下記の治療や対策を行うことで症状が緩和したり、延命することが可能です。
心臓外科手術

猫は心筋症関連の心疾患が多く、聴診器では異常が見つからないこともあるため、
早期に診断をつけるためにはレントゲンや心臓病超音波検査などでの
精密な検査を行うことが大切になります。

猫の代表的な心臓病は「肥大型心筋症」です。
心筋(心臓の筋肉)が次第に分厚くなっていき、心臓の機能を低下させてしまう病気で、血液を全身に巡らせることが困難になってしまいます。
症状が悪化すると心臓の中で血栓を作ってしまい、血管の中で詰まることもあります。
とても辛い病気ですが、原因がまだ解明されておらず、ある日突然症状が現れるという特徴があります。

腎臓は心臓によって流される血液中の老廃物を尿に変える働きをしています。しかし心不全の体では血液を思うように流せなくなるため、腎臓は尿が作れません。そしてその状態が続くことで体に毒素がたまり「急性腎不全」を引き起こし、最悪の場合死に至ることがあるのです。
もちろん、心不全の治療などの適切な措置を行えば腎不全は回避できます。
心臓病が他の臓器にも影響を及ぼす前に、できるだけ早く治療に取り掛かるようにしましょう。

前述したように、残念ながら肥大型心筋症の原因は解明されておらず、下記の対症療法的な治療を行い、症状が緩和することを期待することしかできません。
確実な効果を得られる治療がありませんが、ねこちゃんを精神面をから支えてあげることは可能です。辛い心臓病と戦っているねこちゃんの気持ちを、飼い主さまをはじめとするご家族の方々でサポートしてあげるようにしましょう。


Copyright© 2018 岐阜市の動物病院
けやき通りの動物クリニック All Rights Reserved.